Beule am Bauch bisher ohne eindeutige Diagnose
Golden Retriever Sparky, drei Jahre alt, wurde im Juli mit einer hartnäckigen Schwellung am seitlichen Bauchbereich in der Tierklinik Ismaning vorgestellt. Mitte Mai war der Rüde kurzzeitig auffallend ruhiger gewesen, erholte sich jedoch schnell. In der Folge war er durchgehend munter und fraß immer gut.
Erst später fiel den Besitzern eine Beule hinter dem Rippenbogen auf. Mehrere Tierarztbesuche, Behandlungen mit Schmerzmitteln, Antibiotika und Heparinsalbe sowie verschiedene bildgebende Untersuchungen brachten keine eindeutige Diagnose. Schließlich wurde die mittlerweile kinderfaustgroße Schwellung punktiert und eine Panikulitis, eine Entzündung des Unterhautfettgewebes, festgestellt. Als die Ursache dafür aber weiter unklar blieb, wurde Sparky in unsere Klinik überwiesen.

Verdacht auf Fremdkörper mit überraschendem Fund im Ultraschall
Unsere internistische Oberärztin Gaby Rieckmann übernahm die weitere Abklärung des völlig fidel wirkenden Hundes: „Im Vorbericht klang es für mich wie ein möglicher Fremdkörper, der unter der Haut wandert. Für einen Tumor sah die Beule eigentlich zu wenig abgegrenzt aus.“
Im Ultraschall zeigte sich der Auslöser dann sofort: ein deutlich sichtbarer, länglicher Fremdkörper. „Ich sagte den Besitzern, dass es für mich wie ein Holzspieß aussieht“, erinnert sich die Oberärztin: „Da fiel ihnen ein, dass Sparky im Mai beim Grillen möglicherweise einen Schaschlikspieß erwischt hatte. Damals konnten sie aber nicht nachvollziehen, ob er ihn überhaupt erwischt, gefressen oder nur angekaut hatte.“

Ultraschall zeigt länglichen Fremdkörper im Magen.

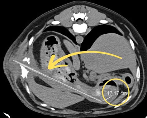
Im CT dann deutlich: Ein rund 17 Zentimeter langer Holzspieß hat sich durch die Magenwand gebohrt.

An einer betroffenen Rippe zeigten sich dadurch bereits beginnende Auflösungserscheinungen.

In der 3-D-Darstellung des CTs ist die Beschädigung der Rippe gut zu erkennen.
Ein anschließendes CT bestätigte den Verdacht und zeigte das Ausmaß der inneren Verletzung: Ein rund 17 Zentimeter langer Holzspieß hatte sich durch die Magenwand gebohrt und war weiter durch die Bauchwand gewandert. Besonders dramatisch: Der Fremdkörper war inzwischen vollständig eingewachsen, das umliegende Gewebe stark entzündet und verändert. An einer betroffenen Rippe zeigten sich dadurch bereits beginnende Auflösungserscheinungen.
Operation in schwer geschädigtem Gewebe
Die Entfernung des Fremdkörpers erfolgte durch unseren chirurgischen Oberarzt Maximilian Herion über die Bauchhöhle. Bei der Operation mussten die Verwachsungen zwischen Magen und Bauchwand vorsichtig gelöst werden, bevor der Spieß unter sterilen Bedingungen entfernt und die Magenwand verschlossen werden konnte.
Auch nach der OP erforderte die äußere Wunde besondere Versorgung: Das stark entzündete Gewebe war zu geschädigt für einen vollständigen Wundverschluss, sie musste zunächst offenbleiben. Eine Drainage wurde gelegt, damit Sekret abfließen konnte und die Heilung von innen heraus erfolgen konnte.
Sparky übersteht den Eingriff gut
Sparky blieb zunächst stationär zur intensiven Nachbetreuung. Die Drainage wurde täglich gewechselt, die Wunde kontrolliert. Nach drei Tagen erfolgten ein Kontrollultraschall und neue Laborwerte. Schließlich durfte der Golden Retriever wieder nach Hause, inzwischen geht es ihm wieder hervorragend.