

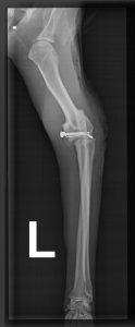
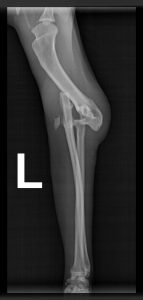
Nach vier Tagen war die Zeit der Ungewissheit für Luckis Besitzer endlich vorbei. Der Kater lebte, maunzte aber vor Schmerzen, nachdem er auf einmal wieder humpelnd im Garten aufgetaucht war. Vermutlich hatte das Tier einen Autounfall gehabt, denn im Röntgenbild erkannte der Tierarzt eine Ellbogenluxation. Versuche, das Gelenk wieder einzurenken, schlugen fehl. Zu alt war die Verletzung, die Schäden waren bereits zu groß, es drohte eine Amputation. Doch unserem Chefchirurg Dr. Klaus Zahn gelang das Kunststück, in einer diffizilen OP den Ellbogen mit einer Drahtzug-Gurtung wieder in der richtigen Position zu fixieren. Dadurch besteht Hoffnung, dass der Kater (im Foto mit Stationsärztin Lara Ißl) in ein paar Wochen sein Bein wieder voll belasten kann. Sofern Tier und Halter einige Regeln befolgen: sechs Wochen Zimmerhaltung, keine Sprünge, viel Physiotherapie. Um die Genesung ihres Lieblings zu unterstützen, haben die Halter daher eine geplante Flugreise storniert und freuen sich, dass Lucki bereits von Tag zu Tag besser läuft.