

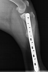
Golden Retriever Bella schien wie vom Pech verfolgt. 2016 zog sich die schöne Hündin im Abstand weniger Monate zwei Kreuzbandrisse zu, die in der Tierklinik Ismaning per TPLO chirurgisch versorgt wurden. Alles verheilte gut, und Bella konnte nach den entsprechenden Schonzeiten ihre Kniegelenke wieder voll belasten. Doch dann wurde sie im Januar 2018 von einem Auto angefahren, und ihr linker Unterschenkel brach genau unterhalb der Knochenplatte, die Bella im Rahmen der TPLO zur Knochenstabilisierung eingesetzt worden war (Röntgenbild ganz rechts). Bellas Frauchen befürchtete schon das Schlimmste. Doch unser Chefarzt Dr. Klaus Zahn konnte Bellas Beinchen wieder vollständig herstellen. Bei OP Nummer drei entfernte er die alte Platte und verschraubte eine neue im Knochen. Die Folge: Heute rennt, läuft und spielt Bella, als ob nie etwas gewesen wäre.